以诚为本赢在诚信9001
当前位置: 首页 > 就诊指南 > 常见眼病新闻
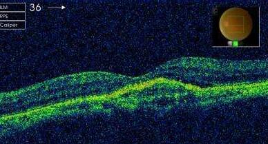
中渗
2019-03-22 11:23:00
4月11-14日第十一届中国眼科学和视觉科学研究大会将在厦门召开
2019-01-31 13:15:26
以诚为本赢在诚信9001行业资讯:1月19日由女医师协会主办第二届美女医师颁奖典礼在上海隆重举行
2018-08-18 11:06:43
中渗应该如何医治?

  • 华北地区
  • 华南地区
  • 西南地区
  • 华中地区
  • 华东地区
  • 西北地区
  • 东北地区
以诚为本赢在诚信9001微信公众号 微信公众号